インプラント治療は外科手術も伴い、さらに自費診療となるため、治療をためらうかたも少なくありません。当院では、日本口腔インプラント学会専門医の資格を持ち、インプラント治療において25年以上携わってきた院長が、カウンセリングから治療までトータルに対応いたします。豊富な経験と知識を活かして、専門性の高い治療の提供を心がけています。他院で断られてしまったかたもぜひ一度ご相談ください。
歯ぐきを切開しないフラップレス手術を採用しています。患者さんの負担が小さく、手術中の出血や手術後の腫れ・痛みを抑えられるのがメリットです。さらに、充実した術後のサポートにより、治療期間の短縮につながり、患者さんの負担軽減にも役立ちます。お口の状況に応じて提供いたしますので、ご希望のかたはお気軽にご相談ください。
患者さんにより不安の少ないインプラント治療を提供するためには、詳しい検査に基づいた
綿密な治療計画を立てること、さらに計画通りに精密な治療を行うことが求められます。
当院では、こうした治療を提供するために役立つ先進設備の充実に力を注いでいます。
シミュレーションシステム

顎の骨の硬さや形、神経の位置などを解析して、事前にリアルなシミュレーションが可能なI-Cat社のシミュレーションシステムを導入しています。カウンセリングでは、このシステムを活用して、治療についてわかりやすく説明いたします。インプラント治療を受けるかどうか、じっくりとご検討ください。
サージカルガイド

顎の骨にインプラント体を埋め込む際に、治療計画と少しでも埋入場所がズレてしまうと、神経を傷つけるなどしてトラブルの原因になるおそれがあります。当院では、計画通りの位置・角度・深さで埋入できるよう、3Dプリンターでサージカルガイドを作製し、患者さんのお口にガイドを固定した上で手術を行います。
歯科用CT

通常のレントゲンとは異なり、顎の骨の厚みや状態、神経の位置などを、立体の3D画像で確認できるのが歯科用CTのメリットです。豊富な情報が得られることで、よりしっかりとした診断が可能になり、精密なインプラント治療の提供につながります。
外科手術を伴うインプラント治療に対して、痛みを心配されるかた、
不安や緊張を感じられるかたは少なくありません。
当院では、こうしたかたにもリラックスして治療を受けていただけるよう、
静脈内鎮静法を用いた治療を実践しています。
日本麻酔科学会指導医あるいは日本歯科麻酔科学会認定医による処置のもと、
不安を抑えた状態で治療を受けていただけます。
また、全身疾患などがあるかたでも適切な麻酔処置を行えます。
痛みや緊張が心配なかたは、お気軽にお問い合わせください。
麻酔薬や抗不安薬の点滴をしながら治療を行う方法です。点滴により患者さんは寝ているような状態になるため、不安や緊張、痛みに悩まされることなく治療を進めることができます。治療を受けている際の記憶が残らないこともメリットです。
ライトプラン
1本
351,000
(税込)
円
保証なし
スタンダードプラン
1本
451,000
(税込)
円
5年保証
プレミアムプラン
1本
551,000
(税込)
円
10年保証
※お口の状態によっては別途費用が
かかる場合があります
お電話またはお問い合わせフォームよりご予約いただけます
外科手術を伴うインプラント治療では、治療中の患者さんの状態に細心の注意を払い、体調の急変などに迅速に対応する必要があります。当院では、常にモニターをチェックしながら手術を行うなど、患者さんの全身の状態を把握しながら行う全身管理下での治療を徹底しています。
患者さんの治療に使用した器具は、1回ごとにすべて洗浄・滅菌処理を行います。滅菌器は性能により3つのクラスに分類され、当院が導入しているクラスBの滅菌器は医科と同水準を確保し、世界一厳しいヨーロッパ基準をクリアしています。こうした高水準の滅菌システムにより、徹底した滅菌が可能です。
当院ではインプラント治療の成功率を上げ、患者さんの満足できる治療をご提供するために、世界トップクラスのインプラントメーカー「ストローマン社」「ノーベルバイオケア社」製のインプラントを採用しております。長い歴史と臨床データから確立された確かなエビデンスがあり、ストローマンのインプラントは約70ヵ国以上、ノーベルバイオケアのインプラントは約80ヵ国以上で使用され、世界的にも信頼されているインプラントブランドです。
当院では患者さんに安心してインプラント治療を受けていただくだけでなく、治療後も快適にインプラントを使用できるよう、保証制度(院内規定あり)を設けております。保証期間はプランによって異なりますが、しっかりとサポートして参りますので、お気軽にご利用ください。
【保証適用外となる場合】
・定期健診にお越しいただいていない場合。
・患者さんの過失や事故、不適切な使用による損傷の場合。
・歯ぎしりがある場合にナイトガードの着用をしていなかった場合。
・診療時に予測できないような全身疾患の変化があった場合
インプラントは治療したら終わりということはなく、定期的なメンテナンスを行わないとインプラント周囲炎になる可能性があり、最悪の場合インプラントが抜け落ちてしまう可能性もあります。当院では経験豊富な歯科衛生士による専門的なメンテナンスをご提供しており、プロによる定期的なチェックによって、インプラントが抜け落ちるリスクをできるだけ抑えることができます。インプラントが少しでも長持ちできるように、定期的に当院までお越しください。
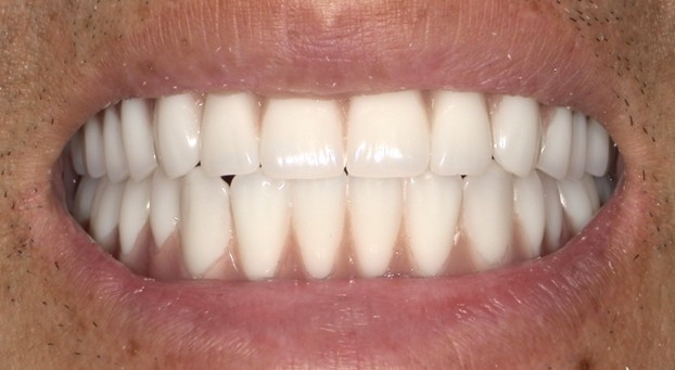
インプラント治療では、歯を失くした部分にインプラント体と呼ばれる人工の歯の根と人工の歯を装着し、失った歯の機能を取り戻すことを目指します。入れ歯やブリッジとは異なり、周りの健康な歯を削ったり、負担をかけたりする心配がなく、審美性にも優れた自由診療の治療です。これらの他にも多くのメリットがあります。

天然の歯と同じように、顎の骨に埋め込んだインプラント体で人工の歯を支えるので、天然の歯と遜色のない快適な噛み心地が特徴です。

インプラント治療を行った歯は、自然な見た目が特徴です。入れ歯などとは異なり、周囲に気づかれる心配はほとんどありません。

ブリッジや入れ歯は周囲の他の歯を支えにしますが、インプラントの歯は独立しています。このため、他の歯に負担がかからず、トラブルのリスクが抑えられます。

歯から噛む刺激が伝わらなくなると、次第に顎の骨が痩せていきます。インプラントは顎の骨に固定され、歯からの刺激がしっかり顎の骨に伝わるため、こうした心配は不要です。

スポーツや力仕事をする際には、歯に力がかかります。顎の骨にしっかり固定されるインプラントなら、歯に強い力がかかる際も、心配の必要はありません。

ブリッジや入れ歯などのように、他の歯に負担がかからず、お口の中全体を健康な状態に保ちやすいのが特徴です。長期的に見れば、将来お口の中に残る歯の本数が多い傾向にあります。
こうしたお悩みがあるかたには
渋谷デンタルオフィスの
インプラント治療を
おすすめします
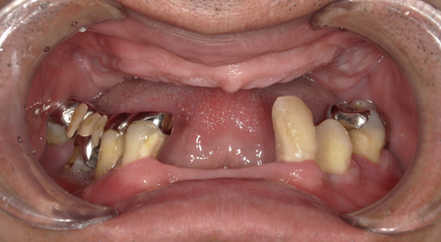
インプラント治療は、入れ歯についてのさまざまなお悩みの改善に役立つ治療法です。
その一方で、外科手術を伴うため、治療に対して不安を感じておられるかたも少なくありません。
当院では、メリットの多いインプラント治療を不安なく受けていただけるよう、さまざまな取り組みを実践しています。
全身疾患の持病があるので、治療できるかどうか心配です。
まずは当院にご相談ください。経験豊富な歯科医師が丁寧にカウンセリングを行い、
治療を受けていただけるかどうかを判断いたします。
インプラントにしたいけれど、手術を受けるのが怖いです。
当院では、できるだけ痛みを抑えた治療を心がけています。
眠っているような状態で手術を受けていただける静脈内鎮静法なども
ご用意しておりますので、ご安心いただければと思います。
お電話またはお問い合わせフォームよりご予約いただけます
インプラント
![]() |
入れ歯
![]() |
ブリッジ
![]() |
|
| 治療方法 | 外科手術を行って顎の骨にインプラント体を埋め込み、その上に人工の歯を装着します。自費診療の治療法です。 | 歯を失くした部分の両隣の歯に、金属製の留め具を引っかけて固定します。さまざまな種類があり、幅広いケースに対応可能です。 | 支えとなる両隣の歯を大きく削って、その間に橋を渡すようにして人工の歯で補います。人工歯にはさまざまな種類があり、審美性に優れた素材も使用可能です。 |
| 取り外し | できない | できる | できない |
| メリット |
|
|
|
| デメリット |
|
|
|
お電話またはお問い合わせフォームよりご予約いただけます
「インプラントは難しい」と
言われても諦めないでください
幅広いケースに
合わせた治療を提供いたします
上の奥歯を支える骨の量が足りない場合に行う治療です。上顎に作ったすき間に、骨を増やす薬を入れて骨の造成を促します。骨を増やす量が比較的少ないケースに向いている治療法です。
ソケットリフトと同様に、上の歯を支える顎の骨が不足している場合に行う治療で、骨を増やす薬を入れて骨の造成を促します。骨の厚みが8mmに満たない場合や、骨の量を大幅に増やす必要がある場合に用いられることが多い治療法です。
骨形成を妨げる細胞の侵入を防ぐために、骨を増やしたい部分を人工の膜で覆います。その上で、人工膜の内部に、骨を増やす薬や患者さん自身の骨の一部を入れて、骨の造成を促す治療法です。
注意点・リスク・副作用
糖尿病など持病があると外科手術が難しく、インプラント治療を断わられるケースがあります。当院では、こうした患者さんからご相談があった場合、かかりつけの内科の先生に文書で情報を提供いただいた上で、歯科麻酔科、医科麻酔医の2人の医師と治療方針について検討し、数値的に問題がない場合に、適切な治療をご提案いたします。
| 手術費 | 230,000円 |
|---|---|
| 上部構造:ジルコニア(人工歯) | 121,000円 |
| 仮歯(1本) | 22,000円 |
| サージカルガイド | 55,000円~ |
| ソケットリフト | 55,000円~165,000円 |
| サイナスリフト | 165,000円~220,000円 |
| 骨造成(GBR) | 55,000円~165,000円 |
| 静脈内鎮静法 | 99,000円 |
※表示金額は全て税込みです。
当院では、
下記のお支払方法をお選びいただけます。
現金でのお支払い
振込でのお支払い
VISA/JCB/
Mastercard/など
低金利分割払いでの
お支払い
医療費控除について
1年間(1月1日~12月31日)で医療費を10万円以上支払った場合に、一定金額の所得控除を受けることができる制度が医療費控除です。ご自身のみならず、生計をともにするご家族の医療費も適応となります。詳しくは国税庁のホームページをご覧ください。
注意点・リスク・副作用
・骨が成長途中であるお子さん(およそ18歳未満のかた)は、インプラント治療はできません。
・インプラント治療では、痛み止めや抗生物質等を使用するため、妊娠中のかた、妊娠の可能性のあるかた、授乳中のかたはインプラント治療を控えてください。
・心疾患、骨粗しょう症など内科的な疾患のあるかたは、インプラント治療に適さない場合があります。
・歯周病の発生リスクが高いとされる糖尿病のかた、口腔内の衛生状態の悪いかた、顎の骨が足りないかた、喫煙されるかたはインプラント治療がすぐに行えず、事前に生活習慣の改善が必要となる場合があります。
・インプラント治療は、インプラントが骨に接着するまでに約3ヵ月~6ヵ月の治癒期間を要します。また、インプラントを埋め込む骨の厚みを増やす手術を行う場合は、さらに治療期間がかかります。
・上顎にインプラントを埋入する際に上顎洞を破る可能性があります。
・手術した時に感染が生じると蓄膿症になる場合があります。この場合は、インプラントを除去し、耳鼻咽喉科で治療を受けていただくことがあります。
・手術直後は、腫れや痛み、違和感、出血などが発生する場合がありますが、大体2~3日で治まります。
・口腔内の衛生状態が悪いかた、歯ぎしり、くいしばりの強いかたはインプラント周囲炎を引き起こす可能性があります。
お電話またはお問い合わせフォームよりご予約いただけます
院長渋谷 光広Mitsuhiro Shibuya
当院のインプラント治療サイトをご覧いただき、ありがとうございます。
まずは少しだけ自己紹介させていただきます。
私は幼いころから車が大好きで、もともとバスの運転手になりたいという夢がありました。そんな私が歯科医師を目指すきっかけとなったのは、祖母がいつも「入れ歯が痛い」と言って食事に苦労しているのを見ていたからです。いつか歯医者になって治してあげたいと思うようになり、この道に進むことを決めました。
私は沼津市出身ですが、大学を卒業してからご縁があり、浜松市内の歯科医院で研修医、勤務医時代を経て、2009年11月にこの浜松市中央区市野町に開院いたしました。
「丁寧な説明と患者さんに合った治療により、痛みを払拭できる歯科医院にする」を理念に掲げ、日々診療を行っております。半個室の診療台を揃え、プライバシーがしっかり守られる環境で各分野の専門医と協力しながらクオリティの高い診療を心がけるとともに、日頃の口腔ケアから難症例まで幅広く対応しております。
今後も、「歯」のことなら何でも相談いただける、地域の皆さんに貢献できる歯科医院でありたいと願っています。
〒435-0051
静岡県浜松市中央区市野町2540-1
| 診療時間 | 月 | 火 | 水 | 木 | 金 | 土 | 日 | 祝 |
|---|---|---|---|---|---|---|---|---|
| 9:00~12:30 | 〇 | 〇 | 〇 | ● | 〇 | ● | ★ | / |
| 14:00~18:30 | 〇 | 〇 | 〇 | ● | 〇 | ● | ● | / |
★…8:30~12:00
●…訪問診療、手術日
※最終受付は[平日]12:00/18:00、[日曜]11:30まで。
【外来休診日】木曜、土曜、日曜午後、祝日
インプラント治療を受けられない場合がありますか?
顎の骨の成長は20歳前後で完了すると言われており、健康上に特に問題のない成人であれば基本的に治療を受けていただけます。ただし、外科手術に支障が出る全身疾患を抱えておられるかたや妊娠中のかたなどは、治療を受けられない場合がございます。
インプラント治療はどれくらいの治療期間が必要ですか?
治療を行う部位や本数、患者さんのお口の状態により治療期間は異なりますが、一般的には3~6ヵ月の治療期間が必要です。当院では、治療期間の短縮を希望されるかたのために、より治療期間が短い抜歯即時埋入などにも対応しております。お気軽にお問い合わせください。
保険でインプラント治療を受けられますか?
インプラント治療は、基本的に健康保険が適用されない自費診療です。費用は、お口や顎の骨の状態、必要な処置や治療する本数などによって異なり、治療計画のご案内の際に丁寧に説明いたします。決済の方法についてもお気軽にお尋ねください。
インプラントはどれくらい持ちますか?
インプラントの寿命は一般的に10年~15年とされ、入れ歯の4~5年、ブリッジの7~8年と比べると、比較的長くご使用いただけるのが利点です。ただし、毎日のお手入れや定期検診を怠るとインプラント周囲炎などのトラブルが発生し、再手術が必要となる場合もあります。より長く、快適にお使いただくために、治療終了後の継続的な定期検診をおすすめしています。
インプラントに関するご相談を無料で承っております。
費用や治療内容などご質問や不安な点を遠慮なくご相談ください。
カウンセリングのお時間を確保しておりますので、ご予約の変更やキャンセルにつきましては、必ず医院あてにお電話くださいますようお願いいたします。
※大変申し訳ございませんが、ご希望日に添えない場合もございますので、予めご了承ください。
休診日にご連絡をいただいた場合、折り返しのご連絡は翌診療日以降となりますので、予めご了承ください。